Hepatitis is a general term that means inflammation of the liver. In autoimmune hepatitis, the body’s immune system attacks the cells of the liver, which causes the liver to become inflamed.


Most patients with autoimmune hepatitis have no symptoms. The disorder is often first detected by abnormal liver function tests found on blood testing (such as for a life insurance examination).
With more severe disease, the most common symptom is fatigue. Some people also have symptoms of hepatitis such as fever and jaundice (yellowing of the skin or eyes or dark urine). Other symptoms include itching, skin rashes, joint pain, abdominal discomfort, abnormal blood vessels in the skin, nausea and vomiting and loss of appetite.
In its most advanced form, autoimmune hepatitis can progress to cirrhosis (scarring of the liver).
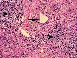
Autoimmune hepatitis is diagnosed with blood tests and a liver biopsy. During a liver biopsy, a small sample of liver tissue is removed with a needle and examined under a microscope.


As a general rule, treatment should continue until the disease is in remission.
Remission is defined as a lack of symptoms, normal levels of liver blood tests or absence of liver inflammation.
Approximately 65 and 80 percent of patients achieve remission within 18 months and three years respectively. About 50 percent of patients remain in remission or have only mild disease activity for months to years after treatment is stopped. However, patients may have to restart treatment because the disease relapses or becomes active again.
A relapse typically occurs within the first 15 to 20 months after treatment is stopped and is more likely in those who have cirrhosis on the initial liver biopsy.
